logo

脳血管障害

脳血管の異常による病態を脳血管障害と呼び、その中でも意識障害や頭痛、麻痺などの神経症状が急激に発症するものを脳卒中と呼びます。脳血管の破綻による出血性脳血管障害と、脳血管の閉塞による虚血性脳血管障害に分けられます。
脳血管障害に対する治療として、内科的治療、開頭手術(外科的治療)、脳血管内手術(カテーテル治療)、放射線治療があります。
当院では日本脳神経血管内治療学会指導医、専門医が常勤で在籍しており、低侵襲な脳血管内手術を積極的に取り入れて治療を行っております。

出血性脳血管障害

破裂脳動脈瘤(くも膜下出血)

脳動脈瘤が破裂すると、くも膜下出血をきたし突然の激しい頭痛や意識障害をきたし、およそ3人に1人は死亡、3人に1人は後遺症を残し3人に1人が社会復帰できるといわれています。
まず再破裂予防の手術(脳動脈瘤クリッピング術あるいは脳動脈瘤コイル塞栓術)を行い、その後、脳血管攣縮や水頭症に対する治療を行います。

脳動脈瘤クリッピング術

頭皮、頭蓋骨を切開し手術用顕微鏡を用いて脳動脈瘤を剥離し、脳動脈瘤にクリップをかけて動脈瘤内に血流が入り込まないよう(動脈瘤が破裂しないよう)にする治療法です。

脳動脈瘤クリッピング術

脳動脈瘤コイル塞栓術

脳動脈瘤にマイクロカテーテルという細いカテーテルを挿入し、動脈瘤の中にコイル(プラチナ製の細い糸)を充填して、動脈瘤内に血流が入り込まないようにする治療法です。開頭する必要がありません(低侵襲)。また脳動脈瘤コイル塞栓支援用ステントを使用することで、これまで脳血管内治療が困難であった動脈瘤も治療できるようになってきました。当院では積極的に脳動脈瘤コイル塞栓術を第一選択として治療を行っております。

破裂内頚動脈瘤

破裂内頚動脈瘤

術前の造影写真です。〇内に脳動脈瘤が造影されています。

術前の造影写真です。〇内に脳動脈瘤が造影されています。

術後の造影写真です。主幹動脈は温存できており、動脈瘤は造影されなくなっています。

術後の造影写真です。主幹動脈は温存できており、動脈瘤は造影されなくなっています。

術後4週間、動脈瘤の再発はありません。

術後4週間、動脈瘤の再発はありません。

術後6か月、動脈瘤は完全に消失しています。

術後6か月、動脈瘤は完全に消失しています。

未破裂脳動脈瘤

脳ドックや脳の精査で偶然に脳動脈瘤が見つかる場合が増えてきています。破裂率は大きさや部位によって異なりますが、およそ年間0.5~3%程度といわれています。ただし25mm以上の巨大脳動脈瘤では平均すると年間30%以上ともいわれています。
年齢や動脈瘤の大きさ、形、経時的な変化、既往歴や家族歴などを考慮して、治療方針(破裂予防の手術か経過観察か)を判断します。

破裂しやすいと考えられる未破裂脳動脈瘤

前交通動脈瘤

術前の造影写真です。〇内に脳動脈瘤が造影されています。

術前の造影写真です。〇内に脳動脈瘤が造影されています。

動脈瘤内にマイクロカテーテルを挿入しステントを展開しています。

動脈瘤内にマイクロカテーテルを挿入しステントを展開しています。

術後の造影写真です。主幹動脈は温存できており、動脈瘤は造影されなくなっています。

術後の造影写真です。主幹動脈は温存できており、動脈瘤は造影されなくなっています。

中大脳動脈瘤

術前の造影写真です。〇内に脳動脈瘤が造影されています。

術前の造影写真です。〇内に脳動脈瘤が造影されています。

術後の造影写真です。主幹動脈は温存できており、動脈瘤は造影されなくなっています。

術後の造影写真です。主幹動脈は温存できており、動脈瘤は造影されなくなっています。

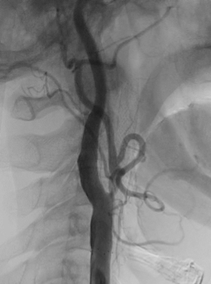
内頚動脈瘤

術前の造影写真です。〇内に脳動脈瘤が造影されています。

術前の造影写真です。〇内に脳動脈瘤が造影されています。

術後の造影写真です。主幹動脈は温存できており、動脈瘤は造影されなくなっています。

術後の造影写真です。主幹動脈は温存できており、動脈瘤は造影されなくなっています。

椎骨動脈瘤

術前の造影写真です。〇内に脳動脈瘤が造影されています。

術前の造影写真です。〇内に脳動脈瘤が造影されています。

動脈瘤内にマイクロカテーテルを挿入しステントを展開しています。

動脈瘤内にマイクロカテーテルを挿入しステントを展開しています。

術後の造影写真です。主幹動脈は温存できており、動脈瘤は造影されなくなっています。

術後の造影写真です。主幹動脈は温存できており、動脈瘤は造影されなくなっています。

手術1年後、動脈瘤の再発はありません。

手術1年後、動脈瘤の再発はありません。

フローダイバーターステント留置術

通常のコイル塞栓術では不完全閉塞になりやすく、また再発の可能性が高いと考えられる大型の脳動脈瘤に対しては『フローダイバーターステント』を用いた治療を行います。
近年、中型の脳動脈瘤に対しても『フローダイバーターステント』での治療も行っております。

術前の造影写真です。〇内に脳動脈瘤が造影されています。

術前の造影写真です。〇内に脳動脈瘤が造影されています。

術直後の造影写真ではまだ脳動脈瘤は造影されています。

術直後の造影写真ではまだ脳動脈瘤は造影されています。

術直後の写真です。〇内は留置されたフローダイバーターステントです。

術直後の写真です。〇内は留置されたフローダイバーターステントです。

半年後の造影写真では脳動脈瘤は完全に消失しています。

半年後の造影写真では脳動脈瘤は完全に消失しています。

脳動静脈奇形(AVM)

脳の動脈が毛細血管を介さずに「ナイダス」と呼ばれる血管のかたまりで直接静脈につながっており、動脈血が直接静脈に流入している病気です。脳出血、くも膜下出血、けいれん発作の原因となることがあります。治療には開頭摘出術、脳血管内手術(塞栓術)、放射線治療があり、これらを組み合わせた集学的治療が必要な場合も多くあります。

術前の造影写真です。〇内に脳動静脈奇形が描出されています。

術前の造影写真です。〇内に脳動静脈奇形が描出されています。

塞栓術および摘出術後の造影写真です。脳動静脈奇形は消失しております。

塞栓術および摘出術後の造影写真です。脳動静脈奇形は消失しております。

硬膜動静脈瘻

脳や脊髄を包む硬膜を介して動脈と静脈が直接つながり、静脈に動脈血が流入することにより静脈内の圧が高くなり様々な症状を引き起こします。頭痛、耳鳴り、眼球結膜充血、眼球突出、視力障害、眼球運動障害、運動麻痺、けいれん、認知症や脳出血を起こし後遺症を残す場合もあります。
硬膜動静脈廔の治療方法として、開頭術、脳血管内治療(塞栓術)、定位放射線治療の3つがあります。

内頚動脈海綿静脈胴部硬膜動静脈瘻

術前の造影写真です。〇内に硬膜動静脈瘻を認め、眼静脈へ動脈血が逆流しています。

術前の造影写真です。〇内に硬膜動静脈瘻を認め、眼静脈へ動脈血が逆流しています。

硬膜動静脈瘻を塞栓し動脈血の逆流は消失しています。

硬膜動静脈瘻を塞栓し動脈血の逆流は消失しています。

円蓋部硬膜動静脈瘻

術前の造影写真です。〇内に硬膜動静脈瘻を認めます。

術前の造影写真です。〇内に硬膜動静脈瘻を認めます。

硬膜動静脈瘻を塞栓し動脈血の逆流は消失しています。

硬膜動静脈瘻を塞栓し動脈血の逆流は消失しています。

虚血性脳血管障害

急性期脳主幹動脈閉塞

脳動脈の閉塞により脳梗塞を発症します。麻痺、失語、意識障害など様々な症状を呈します。できるだけ早急に再開通させることで脳梗塞を最小限に抑え症状の改善が得られる可能性があります。その場合、緊急に血栓回収術を行います。

脳底動脈閉塞

術前の造影写真です。〇内で脳底動脈に血栓が詰まり完全閉塞しています。

術前の造影写真です。〇内で脳底動脈に血栓が詰まり完全閉塞しています。

術後の造影写真です。閉塞していた脳底動脈は完全に再開通しています。

術後の造影写真です。閉塞していた脳底動脈は完全に再開通しています。

ステントで回収できた暗赤色の血栓の写真です。

ステントで回収できた暗赤色の血栓の写真です。

中大脳動脈閉塞

術前の造影写真です。〇内で血栓により左中大脳動脈が完全閉塞しています。

術前の造影写真です。〇内で血栓により左中大脳動脈が完全閉塞しています。

術後の造影写真です。左中大脳動脈は完全に再開通しています。

術後の造影写真です。左中大脳動脈は完全に再開通しています。

吸引カテーテルで回収された血栓です。

吸引カテーテルで回収された血栓です。

慢性期脳主幹動脈閉塞・もやもや病

脳の動脈が徐々に狭窄、閉塞し脳血流の低下し脳梗塞の発症、再発を起こすことがあります。脳血流の予備能が低下している場合、頭皮の動脈を脳表の動脈と吻合して脳血流を補う手術(直接バイパス術)を行い,脳梗塞の再発を予防します。
もやもや病は比較的まれな病気ですが、両側の内頸動脈が進行性に細くなり、周囲に細かいモヤモヤ血管が増生してきます。小児~若年期は一過性脳虚血発作や脳梗塞,壮年~高齢では脳出血で発症することが多いと言われています。直接バイパス術や、脳表を頭皮や筋肉などの組織で覆って血管新生を促して血流を補う手術(間接バイパス術)を行い脳梗塞や脳出血を予防します。

術前のMRA画像です。矢印の部位で動脈が狭窄、閉塞しています。

術前のMRA画像です。矢印の部位で動脈が狭窄、閉塞しています。

もやもや病に対する直接バイパス術の術中写真です。矢印の部位で血管吻合を行っています。

もやもや病に対する直接バイパス術の術中写真です。矢印の部位で血管吻合を行っています。

内頸動脈狭窄

高血圧、糖尿病、脂質代謝異常や加齢などの影響により内頸動脈に粥状硬化巣(プラーク)が生じ、血管内腔の狭窄・閉塞をきたします。脳梗塞の原因となりうるものです。
抗血小板剤の内服治療、頚動脈内膜剥離術(CEA)、頸動脈ステント留置術(CAS)が必要になることがあります。

頚動脈内膜剥離術

全身麻酔で手術を行います。頚部を切開し頚動脈を露出させ(図1)、頚動脈を切開し(図2)狭窄の原因となっている粥状硬化巣(プラーク)を切除(図3)します。切開した頚動脈を縫合し血流の改善をはかります。

図1 頚動脈を露出させたところの術中写真です。

図1 頚動脈を露出させたところの術中写真です。

図2 頚動脈を切開したところの術中写真です。矢印の部位に頚動脈内腔のプラークが認められます。

図2 頚動脈を切開したところの術中写真です。矢印の部位に頚動脈内腔のプラークが認められます。

図3 頚動脈から摘出されたプラークの写真です。

図3 頚動脈から摘出されたプラークの写真です。

頚動脈ステント留置術

局所麻酔で手術を行います。足の付け根の動脈(大腿動脈)からカテーテルを挿入し,フィルターあるいはバルーン等で術中に血栓などが飛ばないように保護しながら(図4)、バルーンカテーテルで狭窄部を広げ(図5)ステントを留置(図6)し,血流の改善をはかります。当院では積極的に頚動脈ステント留置術を第一選択として治療を行っております。

図4-6 頚動脈ステント留置術のイラスト図です。

図4-6 頚動脈ステント留置術のイラスト図です。

頚動脈高度狭窄

術前の頚動脈造影写真です。〇内に頚動脈狭窄が見られます。

術前の頚動脈造影写真です。〇内に頚動脈狭窄が見られます。

造影されていない部分にはプラークが付着しています。

造影されていない部分にはプラークが付着しています。

頚動脈ステント留置術後の造影写真です。狭窄は改善しています。

頚動脈ステント留置術後の造影写真です。狭窄は改善しています。

対象疾患

脳腫瘍
小児脳神経外科
脊髄脊椎
脳血管障害
機能的脳神経外科
特発性正常圧水頭症