水頭症とは、何らかの原因で髄液の循環や吸収が障害され頭の中に髄液が貯留している疾患です。水頭症の原因には、中脳水道狭窄症や脊髄髄膜瘤に伴う先天性のもの、早産低出生体重児での脳室内出血や脳腫瘍に伴う後天性のものなど多数あります。
手術は大きく分けて二種類です。一つ目は脳室腹腔シャント術(V-Pシャント術)で、脳室と腹腔をシャントチューブでつないで余分な髄液をおなかに流すものです。もう一つは第Ⅲ脳室底開窓術という方法で、内視鏡を使用して脳室の底に穴を開け髄液の流通路を作成します。どの治療法がお子さんにとってベストなのかは水頭症の状態によって異なります。脳の発達に悪影響をもたらさないよう必要な時期にきちんと治療を受けることが一番大切です。



脊髄髄膜瘤は、脊髄がうまく形成されず体表に露出したものです。放置すれば高率に感染をきたすため、生後早期に修復術が必要になります。
脊髄髄膜瘤では約90%と高頻度に水頭症を合併し、通常は生後早期にV-Pシャント術を行います。また、大部分の患者さんで小脳の一部が下方に落ち込んでいるキアリⅡ型奇形がみられますが、このうち約10%で減圧術が必要となります。
脊髄の形成が不十分であるため、程度の差はありますが多くの患者さんで下肢の麻痺や排尿排便障害という後遺症が残ります。脳神経外科だけでなく、整形外科や泌尿器科で診てもらうことも必要になります。リハビリもとても重要です。脊髄髄膜瘤ではいろんな部署のスタッフが協力して長期にわたり子どもたちの治療をすすめていきます。現在では、幼少時に脊髄髄膜瘤の治療を受けた子どもたちがたくさん社会で出て活躍しておられます。



脊髄脂肪腫は、脊髄が形成される過程で脂肪組織が入り込んでくることが原因で生じます。皮下脂肪が脊髄までつながって脊髄を圧迫し、さらに脊髄が脂肪腫によって牽引され脊髄係留という状態になります。全く無症状のこともありますし、下肢の麻痺や排尿排便障害などの症状がすでに出ていることもあります。脂肪“腫”という病名ですが、“腫瘍”ではなくあくまでも脂肪の塊です。大きくなったり転移することはありません。
無症状の場合に手術を行うかは年齢や難易度によって個々に判断することになりますが、すでに症状がある場合には通常手術を行います。手術の目的は、無症状の場合は将来症状が出てくるのを防ぐことであり、すでに症状が出ている場合はこれ以上悪化するのを防ぐことです。
脂肪腫の付近には重要な神経が多数走行しています。当科の手術では、これらを1本も損傷しないように膀胱・直腸・下肢の神経モニタリングを併用して安全に脂肪腫の摘出を行なっています。



頭蓋骨は前頭骨、頭頂骨、側頭骨、後頭骨など複数の骨が組み合わさってできており、これらの骨の境界部分を頭蓋縫合といいます。本来新生児や乳児では、脳の発達に合わせて頭蓋骨が大きくなれるように頭蓋縫合はまだ癒合していません。この頭蓋縫合が早期から癒合してしまい頭蓋変形を生じるのが頭蓋縫合早期癒合症です。癒合した部位によって舟状頭蓋、短頭蓋、斜頭蓋、三角頭蓋といわれる特徴的な形態を呈することになります。
治療の目的は二つあります。頭蓋容積の拡大と形態の改善です。頭蓋容積が小さいままだと脳の発達に悪影響を及ぼす可能性がありますし、頭蓋形態を良くすることは子供たちの精神面を考えても非常に重要なことです。
手術の基本は、早期癒合した縫合部分を切除して頭蓋形態を正常化させることです。当科では、大きく切開する従来の方法、最小限の切開に術後のヘルメットによる矯正を加える方法など、個々の患者さんに合わせた最適の手術計画を立てて治療を行なっています。



はじめに:脳腫瘍は成人に多い病気であり、脳腫瘍の中で15歳未満の小児が占める割合は約8%にすぎません。しかしながら、小児に発生する腫瘍のうち脳腫瘍は白血病に次いで第二位の頻度であり、さらに死亡率は第一位となっており決して珍しい病気ではありません。
原因:小児脳腫瘍の原因は残念ながら不明です。原因遺伝子が一部判明しているものもありますが、大多数は原因がわかっていません。
症状:脳は頭蓋骨に囲まれているため、脳腫瘍ができると頭蓋内の圧が高くなり頭痛や嘔吐、意識障害などの頭蓋内圧亢進症状が現れます。ところが、乳幼児期には頭蓋骨縫合や大泉門が開存しているため、ある程度の大きさの腫瘍があっても自然に減圧されすぐには症状が現れないという特徴があります。発見された時には腫瘍が非常に大きくなっていることもしばしばあります。
また、腫瘍のできる場所によっては脳脊髄液の循環が妨げられ水頭症になります。脳腫瘍によって頭蓋内の圧が高いところに水頭症が加わり、急速に頭蓋内圧亢進症状が出現し病状が悪化する場合が多く見受けられます。
一方、腫瘍が発生した部位に応じた神経症状を呈することもあります。具体的には半身麻痺、言語障害、小脳失調、けいれん発作などです。
診断:頭囲拡大や神経症状などの身体所見に加え、CTやMRIなどの画像検査を行い診断します。最終的には手術で摘出した組織の病理検査を行い確定診断となります。
治療:まずは手術でできる限り摘出することになりますが、小児脳腫瘍は重要な部位に発生することが多く、手術による摘出には限界がある場合もあります。当科では、ニューロナビゲーションや神経内視鏡、神経機能モニタリングなどを駆使して安全かつ確実な手術を心がけています。水頭症を伴う場合には、脳腫瘍の治療とは別に水頭症に対して治療が必要となります。
小児脳腫瘍の多くは放射線治療や化学療法の追加が必要になるため、放射線科や小児科と協力しながら治療を行なっています。
脳腫瘍の種類:脳腫瘍は数多くの種類に分類されていますが、小児で頻度の高い脳腫瘍は、星細胞腫、髄芽腫、上衣腫、胚細胞腫瘍、頭蓋咽頭腫、脈絡叢乳頭腫などの腫瘍です。悪性度の高い腫瘍が比較的多く、治療が困難なものや治療期間が長期にわたるものが多いのも事実です。
遺伝子解析:近年小児脳腫瘍において遺伝子レベルでの解析がすすみ病態が少しずつ明らかになっています。がん遺伝子パネル検査で遺伝子変異が判明し、治療に結びつくというケースもみられます。当科でもグリオーマ、髄芽腫、上衣腫などの治療において積極的に遺伝学的検査を実施しています。
神経細胞を支える役割の神経膠細胞(グリア細胞)の一種である星細胞から発生する腫瘍です。
良性の性格を持つことが多く、大脳や小脳に生じた腫瘍では全摘出することで完治が望めます。しかしながら、脳幹や視床、視神経などに発生した場合には手術が困難であり、放射線治療や化学療法を行なっても治癒困難なことがあります。また、悪性度の高い群も稀にあり、このような場合も放射線治療や化学療法を行いますが治療が難しい疾患の一つです。



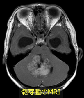
小児における代表的な脳腫瘍であり、ほとんどが小脳に発生します。ふらつきなどの小脳失調に加えて水頭症による頭蓋内圧亢進症状が現れることがあります。
以前は治癒困難な脳腫瘍でしたが、手術手技の向上や放射線治療・化学療法の進歩によって治療成績は確実に向上しています。手術でできる限り腫瘍を摘出し、全脳全脊髄への放射線照射と化学療法を追加することが標準治療となっています。


脳室に存在する上衣細胞から発生する腫瘍です。小脳に好発する腫瘍で、髄芽腫と同様に小脳失調や頭蓋内圧亢進症状がみられます。
まず手術でできる限り腫瘍を摘出し,病状や悪性度に応じて放射線治療を追加します。
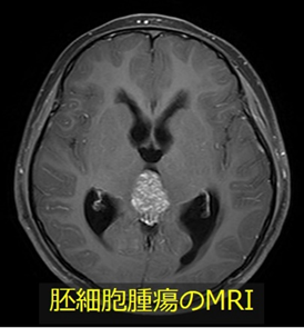
生殖系に発生するものと類似の腫瘍が脳内にも発生することが知られています。比較的良性の性格を持つ胚腫や奇形腫、悪性度の高い絨毛癌や卵黄嚢腫瘍など様々なタイプに分類されており、これらをまとめて胚細胞腫瘍といいます。
治療方法は各タイプによって異なりますが、基本は手術と放射線治療・化学療法です。どのタイプか調べるため多くの場合まず生検術が必要になります。水頭症を合併することが多いため、当科では生検術と第Ⅲ脳室底開窓術を同時に行うことで迅速な診断と治療を行い、患者さんの負担を軽減するよう工夫しています。



脳血管障害は大人に多い疾患ですが、小児でも脳梗塞や脳出血、くも膜下出血を起こすことがあります。代表的な小児脳血管障害であるもやもや病についてご紹介します。
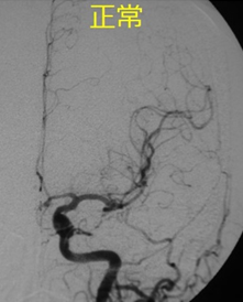
もやもや病とは、脳の血管が進行性に狭窄する原因不明の疾患です。その付近に側副血行路が発達して脳血管撮影検査でもやもやと描出されるため、もやもや病と名付けられています。
小児の患者さんは脳虚血症状で発症することが大半です。脳血管が狭窄して脳血流が足りなくなり、脳梗塞や一過性脳虚血発作を起こすというわけです。具体的には、脱力発作、感覚異常、不随意運動、痙攣、頭痛などの症状がみられます。
治療としては、脳血流が著しく不足している場合には血行再建術を行います。術式にはいろんなバリエーションがあります。大きく分けて、①直接的血行再建術(浅側頭動脈(STA)-中大脳動脈(MCA)バイパス術など)と、②間接的血行再建術(浅側頭動脈、側頭筋、骨膜などを脳表に接着させ血管新生を促すもの)があります。当科では患者さんの病態や重症度に応じて、①のみ、②のみ、①と②の組み合わせなど様々な治療を行なっています。



頭部外傷の原因は年齢によって異なり、乳児では転落や転倒が多く年長になるにつれて交通事故が増加します。また、義務教育での武道必修化に伴ってスポーツによる頭部外傷が注目されるようになっています。
軽度の頭部外傷は日常茶飯事で心配無用なことが大半ですので慌てないでください。ただ、死亡や重篤な後遺症につながるような重症なこともあり、時に迅速な対応が必要となります。
頭部外傷における画像診断法としては頭部CTを行います。ただ、無用な放射線被曝を避けるために、神経症状や嘔吐を伴う場合、高エネルギー外傷が疑われる場合などにのみ実施するのが良いでしょう。当科では,被爆量のきわめて少ないレントゲンを活用して被爆低減に努めています。
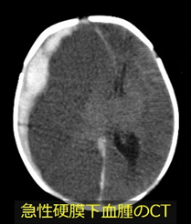
代表的な頭蓋内出血には急性硬膜外血腫や急性硬膜下血腫があります。いずれも多量の血腫が脳を圧迫している場合には緊急手術を要します。
後遺症は外傷の重症度によってさまざまですが、子どもの脳は可塑性に富んでおり驚くような回復をみせてくれることがあります。あきらめずにリハビリを続けることが大事です。

