脳腫瘍には頭蓋内組織から発生する原発性脳腫瘍とがんの転移である転移性脳腫瘍があります。2016年改訂されたWHO分類では、従来の病理形態学的分類に分子生物学的分類が加わったことにより、予後の推定のみならず、放射線治療や化学療法の最適な選択ができることがあります。
原発性脳腫瘍の発生頻度は人口10万人にだいたい20人程度です。頻度が高いのは髄膜腫、神経膠腫で、ともに25%前後、次いで下垂体腺腫、聴神経鞘腫の順です。私どもが治癒を目指して研究対象としている膠芽腫は、最も頻度が高く(原発性脳腫瘍の約10%)、難治性です。
また、小児がんにおいて脳腫瘍は白血病に次ぐ頻度で、固形がんとしては最も多いものです。膠芽腫の頻度は成人に比して少なく(1.5%)、多いものは星細胞腫(18.6%)、髄芽腫(12%)、胚細胞腫(10%)です。現在の脳腫瘍診断において画像診断が最も有用な手段であり、主役はMRIですが、CTや血管撮影、PETなども補助的に用いられます。
脳腫瘍では頭蓋内圧亢進症状や麻痺などの局所症状をきたします。また、てんかん発作が30~50%の患者さんで見られます。頭蓋内圧亢進は早朝に強い頭痛、悪心嘔吐、視力障害などをきたします。脳腫瘍そのものへの治療については、腫瘍別に後で見ていきますが、これらの症状への治療として、抗てんかん薬や脳の炎症を抑えるステロイドが使用されます。
脳実質内に発生し、浸潤性に発育します。脳組織との境界は不明瞭で、浸潤領域に神経機能がありますので、脳機能を温存しつつ、最大限に摘出することが重要です。私どもは以下のような手術を積極的に行い、患者さんの生存期間の延長を図っています。
ナビゲーションを用いた典型的な手術風景です。ナビゲーション画像が画面中央の右側のモニターに写っています。術者が顕微鏡で覗いている位置が、手術前のMRIでどこの部位にあたるのかリアルタイムに表示されるシステムで、カーナビゲーションによく似ています。
覚醒下手術は、目が覚めた状態で患者さんが手術を受けるものです。頭皮を切って剥がしたり、骨にドリルで穴を開けて外したりする間は全身麻酔がかっている状態ですが、腫瘍の摘出時には全身麻酔を覚まします。脳自体は痛みを感じることがありません。繰り返しになりますが、神経膠腫では運動機能や言語機能を温存しつつ、腫瘍を最大限に摘出することが重要です。できるだけ腫瘍を摘出した方が予後良好なのはわかっています。しかし脳機能が損傷されれば患者さんには神経症状が出現し、中には後遺障害が心配される場合もあります。
運動機能は、電気刺激(神経モニタリング手術)することである程度全身麻酔がかかっている状態であっても調べることは可能です。しかし、言葉を話したり理解したりする言語機能は、実際に患者さんに覚醒していただいた状態で、質問に答えていただくことでしか調べることはできません。
いろいろな質問に答えてもらったり、絵の名前を答えてもらったり、数字を数えてもらったり、手足を動かしてもらったり(タスク:患者さんに行ってもらう課題)して、摘出する範囲を決定します。実際の手術の写真を示しますが、左上には電気刺激の強度と脳波、右上は脳の電気刺激の様子です。下段では現在の課題(27という数字を声に出して読む)と患者さんの様子を示しています。手術前にはシミュレーション(練習)として、当日の手術台に寝てもらい腰や背中に挿入するマットなどの高さの調整や手術中のタスクを体験していただき、患者さんの不安を少しでも解消しています。
手術前に5アミノレブリン酸を服用していただきます。手術中に術野に青い光線を照射すると悪性神経膠腫は赤く光ります。境界不明瞭な腫瘍を手術中に可視化することによって、最大限の摘出を目指します。
2013年に承認された抗がん剤カルムスチン脳内留置用剤(抗がん剤)を手術で摘出した部分に留置することで、正常組織の中に残存した腫瘍に作用します。
私どもは「関西遺伝子診断ネットワーク」に参加しており、迅速に遺伝子診断を行ってその後の治療にあたっていますが、基本的には標準治療である放射線治療と化学療法(抗がん剤治療)を行っています。
放射線治療は腫瘍の部位に1回2グレイ、30回(6週間)照射するのが通常の方法です。放射線治療の期間、テモゾロミドという抗がん剤を内服していただきます。放射線治療終了後はテモゾロミドの量を増やして4週ごとに5日間内服することを繰り返します。
前述したように、神経症状を悪化させない範囲でできるだけ腫瘍を摘出し、放射線治療と化学療法を行ったとしても、ほとんどの患者さんは再発すると思われます。不幸にして再発した場合には、患者さんの状態や再発の部位などを考慮して、個別の治療計画が立てられます。摘出手術、再度の放射線治療、薬物療法(ベバシズマブなど)、または緩和治療が選択肢として考えられます。
グリオーマに有効性が示されているお薬は少なく限られているのが現状です。標準治療が終了した場合にがん遺伝子パネル検査が2019年6月より健康保険の適応対象となり、この検査によって患者さんひとりひとりに合ったお薬が見つかる可能性があります。患者さんの腫瘍組織や血液からDNAを抽出して、がんに関連するさまざまな遺伝子変異を調べます。これらの遺伝子変異は、がんの発症、進行、および治療に影響を与える可能性があります。例えば、特定の遺伝子変異はがん細胞の増殖を促進し、他の変異は治療に対する感受性を変えることがあります。検査の結果については、がん薬物療法や遺伝子治療の専門家などのメンバーで開かれる「エキスパートパネル」という会議によって、効果の期待できる薬があるかどうかなどが検討されます。効果が期待できる薬がある場合には、すでに保険適用になっている薬だけでなく、治験中の薬も含めて検討されます。残念ながら遺伝子異常が発見されても、治療できる薬がない場合や、遺伝子異常が見つからない場合もあり治療につながるのは約10%程度と言われています。
オプチューン(交流電場腫瘍治療システム)は初発膠芽腫に対し、初期治療の放射線治療とテモゾロミドの化学療法後の維持療法として使用される治療機器です。2017年12月から保険診療として認められました。頭皮に粘着性シート(アレイ)を張り、脳内に治療電場を作り出し、腫瘍の細胞分裂を阻害します。治療については、入院中に説明させていただき、希望されれば外来で行います。
日本臨床腫瘍研究グループ(JCOG)の脳腫瘍グループに参加しています。以下の試験に取り組んでいます。
髄膜腫は最も頻度の高い脳腫瘍です。くも膜およびくも膜顆粒の表層細胞より発生する腫瘍で、髄膜のある部位ではどこからでも発生し、脳を圧迫するように成長します。髄膜腫の成長は遅いことが多いので、症状がなかなか出現しないこともよくあります。症状は発生する部位によって異なりますが、テント上では痙攣発作や頭痛、麻痺や感覚障害などで、頭蓋底部に発生した場合には腫瘍の存在する近傍の脳神経症状(嗅覚障害、視力障害、眼球運動障害、聴力障害、嗄声、嚥下障害など)が出現します。髄膜腫の好発部位は、円蓋部(頭頂のドーム上になった部分)(26%)、左右大脳を分ける大脳鎌に発生する傍矢状洞部・大脳鎌(23%)、蝶形骨縁(10%)の順に多いとされています。最近は、脳ドックなどで無症状で発見されるものが増加しており(無症候性髄膜腫)、その場合はすぐに治療(手術)をするのではなく、経過観察を行います。当科の橋本教授らは、髄膜腫の自然経過を世界に先駆けて明らかにし、その4割では経過中に腫瘍は増大しないことを明らかにしてきました。明らかに増大した場合は、まずは手術による全摘出を行います。再発あるいは悪性のものに対しては、手術と定位放射線治療(ガンマナイフ)を組み合わせた最適な治療を行います。
また、視神経近傍に発生した髄膜腫では一旦視力障害が生じると視力の改善が困難であるので症状がなくても手術によって摘出することが推奨されています。


当科では、間脳・下垂体疾患の診断・治療に豊富な経験を有する専門医が診療に取り組んでいます。特に下垂体腺腫、ラトケ囊胞などのトルコ鞍部に発生する疾患に対しては、主に内視鏡を用いた経鼻手術(内視鏡下経鼻的下垂体腫瘍摘出術)を積極的に行っており、さらに、難治性の病気に対しては、薬物治療(ホルモン療法)や放射線治療などを組み合わせた集学的治療を一貫して行っており、良好な成績を得ています。
下垂体腺腫は、下垂体前葉細胞から発生する良性の腫瘍で、原発性脳腫瘍のなかで18.1%を占める3番目に多い腫瘍であり、人口10万人に対して2-3人程度発生すると言われています。下垂体の上方には視神経や視交叉があり、腫瘍が増大しこれらを圧迫すると、視野障害(特に多いのが両耳側半盲)や視力低下をきたします。また、下垂体のホルモン分泌機能が障害されることにより、全身倦怠感、食欲不振、性機能低下、意識障害や尿崩症など様々な症状が現れ、ホルモン補充療法を行わないとQOL(生活の質)が低下し、最悪の場合は生命の危険があります。
下垂体腺腫はホルモン非産生腺腫とホルモン産生腺腫に大別され、特にホルモン産生腺腫ではある特定の下垂体ホルモンが過剰に分泌にされることにより、全身にさまざまな影響が出てきます。
プロラクチノーマ(プロラクチン産生下垂体腺腫)は、特に女性に多い病気で、プロラクチンが大量に分泌されることにより月経不順や乳汁分泌がみられ、不妊症の原因にもなります(高プロラクチン血症)。男性でも性欲低下などの症状で発見されることがあります。
先端巨大症(成長ホルモン産生腺腫)では、成長ホルモンが過剰に分泌されることで、手足の腫大、顔貌の変化がみられるようになります。これら特徴的な身体所見のみならず、高血圧、糖尿病、脂質異常症、心臓病、脳卒中、睡眠時無呼吸症候群などの合併症リスクがあり、また大腸癌の発生率も高くなるため、きちんと治療しないと平均寿命が10-15年短くなると報告されています。
クッシング病と呼ばれる副腎皮質刺激ホルモン産生腺腫は、高血圧や糖尿病を合併することが多く、放置すると生命の危険もある病気で、そのほかにも満月様顔貌、中心性肥満、多毛、にきび、色素沈着、下腹部皮膚線条などの身体所見や、筋力低下、骨粗鬆症やうつ病などを伴います。
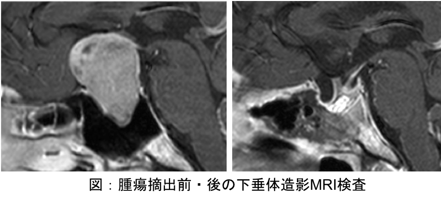
下垂体腺腫を診断する際、まず造影剤を使ったMRI検査を行います。通常の水平断のみならず、冠状断や矢状断なども含めて脳内を観察し、腫瘍の大きさや進展方向、また視神経や周囲の血管および正常下垂体との関係を詳しく調べます。微小腺腫と言われる直径1cm未満の小さな腺腫では、ダイナミック法を駆使して的確に診断します。
次に、下垂体ホルモンについては、まず血液検査で分泌の過剰があるかを確認し、症状と合わせてホルモン産生腫瘍かどうかを診断します。特に診断の難しいクッシング病については、当施設の脳血管内治療医と共同で海綿静脈洞サンプリングを行うことも可能です。また、内分泌内科とも協力してホルモン負荷試験を行い、ホルモン分泌の低下についても詳しく調べます。その他、眼科で視力検査、視野検査や眼球運動の評価など神経眼科的精査を行うとともに、耳鼻科咽喉科にコンサルトし、鼻腔内に問題がないかについても十分に検討します。
プロラクチン産生腺腫(プロラクチノーマ)を除く下垂体腺腫に対しては、基本的に内視鏡下経鼻的下垂体腫瘍摘出術を行います。当施設では、最新の内視鏡手術装置および手術用ナビゲーションを常備しており、狭い術野でも安全かつ確実に手術を行うことが可能です。最近では高齢の患者さんも増えており、手術前には内科や麻酔科とも十分相談し耐術能についてもきちんと評価した上で手術を受けていただきます。この手術では、鼻孔から内視鏡を挿入し、蝶形骨洞(副鼻腔の一部)を経由してトルコ鞍という腫瘍が収まっている頭蓋骨のくぼみに到達します。この骨に1.0〜1.5cm程度の小さな穴を開け、正常下垂体や周囲の重要な血管(海綿静脈洞や内頚動脈など)を傷つけないようにしながら腫瘍を最大限に摘出します。摘出後の空洞には、通常右下腹部から採取した脂肪片を埋めた後、手術用の接着剤(フィブリン糊)でしっかりと固定します。最後に鼻腔内をタンポンガーゼでパッキングします。この方法は、脳を直接触らないため比較的安全な手術と考えますが、髄液漏、尿崩症や鼻出血などの合併症があります。


尚、手術を受けていただく際は、可能な限り外来段階で術前検査を行うことにより、術前2-3日前に入院、術後10日間程度で退院できるようにしています。
一方、プロラクチン産生腫瘍(プロラクチノーマ)に対してはドーパミン作動薬、特にカベルゴリンという飲み薬が効果的であり、主に薬物治療を行います。外来に通院していただきながら、週1〜2回の内服で腫瘍は縮小し、プロラクチン値が低下するとともに、視野障害、無月経や乳汁分泌などの症状も速やかに改善します。また、成長ホルモン産生腺腫では、手術を行っても完治しない場合、腫瘍からのホルモン分泌を抑える目的でソマトスタチンアナログというホルモン剤を月一回の通院で臀部に筋肉注射します。その他、前述のカベルゴリンや成長ホルモン受容体拮抗剤(自己注射が必要)を組み合わせて、内分泌学的寛解(治癒)を目指します。
下垂体腺腫は良性の腫瘍ですが、手術で切除しきれなかった場合、5〜10年かけて再増大することも稀ではありません。ホルモン非産生腺腫では薬物治療が効かないため、再手術が必要となりますが、腫瘍のサイズがまだ小さい場合や、海綿静脈洞など再手術が困難な部位に残存する腫瘍については放射線治療が有効で、長期制御も可能です。またホルモン産生腫瘍では、手術や薬物療法を組み合わせてもなかなか治癒しない難治性のものがあり、これらも放射線治療の対象となります。当施設では定位放射線照射(ガンマナイフ)の専門医が診療を担当し、身体の負担が少なく、かつ病変部にピンポイントで的確に照射することにより、合併症なく長期的に効果が発揮されるよう治療しています。
日本間脳下垂体腫瘍学会HP 診断と治療の手引き最後に、間脳下垂体疾患の一部は難病に認定されており、プロラクチン分泌異常症、先端巨大症、クッシング病や下垂体機能低下症などに該当する患者さんは医療費の支援を受けることができますので、当科外来を受診された際は、ぜひお気軽にご相談ください。
聴神経腫瘍は頭蓋内の末梢神経にできる神経鞘腫のうち、一番頻度が高い良性の腫瘍です。通常は、耳鳴りや聴力低下などの聴覚症状で発症しますが、ふらつきやめまい、顔面や舌のしびれなどで発症することもあります。また、突発性難聴と診断されて腫瘍の発見が遅くなることもあります。
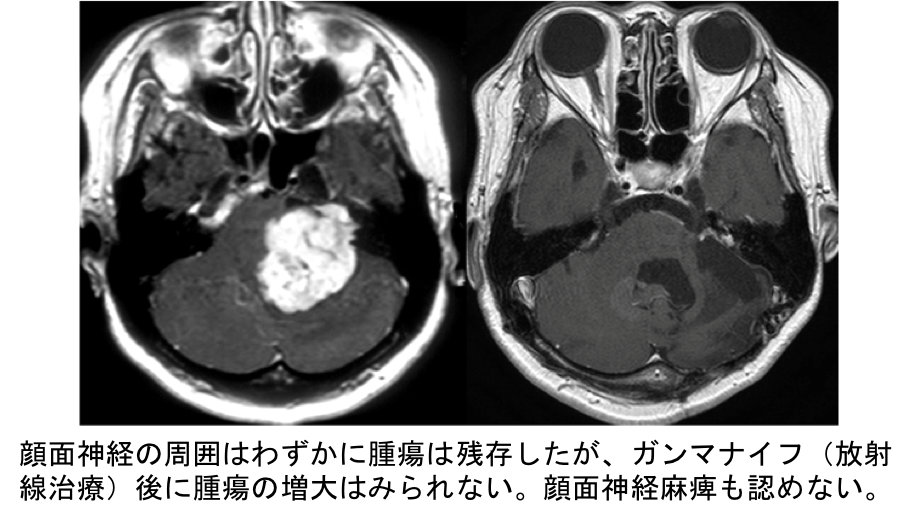
治療方針としては、経過観察、手術による摘出、定位放射線治療があり、患者さんの年齢や全身状態、腫瘍の大きさ、聴力の状況など、さらには患者さんの意向も加味して、最善の治療方針を決定します。手術による全摘出が根治的ですが、聴神経腫瘍手術による特有の合併症があります。聴神経腫瘍は、脳幹と小脳との間に存在しており、周囲にはさまざまな神経が走行しています。手術によって聴力の低下や、顔面神経麻痺、めまいやふらつき、嚥下障害や嗄声、複視などがおこることがあります。また、小脳が腫れたり出血した場合には意識障害や場合によっては生命にかかわる深刻な合併症へと発展することもありえます。当科では手術合併症を回避し安全な手術を目指します。したがって、危険と判断した場合には無理な摘出は行わずにあえて腫瘍を残存させて、定位放射線治療(ガンマナイフ)をおこなうこともあります。
全身の悪性リンパ腫は、リンパ系の組織から発生する腫瘍でホジキンリンパ腫と非ホジキンリンパ腫に大別されます。中枢神経に発生するリンパ腫は全身のリンパ腫から転移してきたものと中枢神経から発生したものに分かれます。これらのうち中枢神経から発生したリンパ腫を中枢神経原発悪性リンパ腫といい、ほとんどが非ホジキンリンパ腫でB細胞由来という特徴があります。男性にやや多く、原発性脳腫瘍の約3%程度を占めますが、近年60歳以上の高齢者で増加傾向にあります。脳、脊髄、眼球のどこにでも発生し、主な症状としては精神症状や頭痛、悪心、嘔吐などの頭蓋内圧亢進症状、痙攣などです。MRIの画像検査でリンパ腫が疑われる場合には、全身のリンパ腫の存在を見逃さないために、胸腹部のCTやFDG-PET、精巣のエコーなどの全身検索を中枢神経の検査と並行して行います。また、眼球内リンパ腫は20%程度の患者さんに合併すると言われており、眼科の先生に診察してもらっています。
中枢神経原発悪性腫瘍は、腫瘍の摘出量によって予後に差がみられないことがわかっていますので、手術の目的は確実に診断をつけることにあります。
全身性びまん性大細胞型B細胞性悪性リンパ腫の標準治療はR-CHOPと呼ばれる多剤化学療法です。しかし、中枢神経には血液脳関門が存在しているためお薬が脳のなかに入っていかないために、R-CHOP療法は効果に乏しいことから、methotrexate(商品名:メソトレキセート)という抗がん剤を通常量よりも大量に投与して血液脳関門を通過させて治療を行います。
わたしたちは、メソトレキセートを基本として、更に3つの抗腫瘍薬、Rituximab(商品名:リツキサン)、procarbazine(商品名:プロカルバジン)、vincristine (商品名:オンコビン)を用いるR-MPV療法を3-5クール行った後に全脳放射線治療、さらに地固め療法としてCytarabine(シダラビン、別名:Ara-C; 商品名:キロサイド)大量療法(HD-Ara-C)を行っています。これらの治療は血液内科の先生にお願いしております。
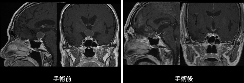
下垂体は胎児の時に頭蓋咽頭管という組織から作られますが、下垂体が完成した後に頭蓋咽頭管は縮小してほぼなくなります。しかし、本来なくなるはずの頭蓋咽頭管の一部が残り腫瘍化したものが頭蓋咽頭腫です。
頭蓋咽頭腫は全脳腫瘍の2.5%、小児脳腫瘍の約8%を占めています。生まれた時から残存している組織から発生する腫瘍ですが、小児だけでなく大人にも発見されることが多く、特に40歳から69歳の間に約半数が発見されると言われています。
視力視野の障害が発症年齢を問わず最も高率にみられ(70-80%)、30-40%の小児では低身長がみられます。大人では男性に性不能や女性に無月経がみられることもあります。また、尿崩症というおしっこが大量にでる症状も10%程度にみられます。腫瘍が大きくなると脳脊髄液の流れが悪くなり、水頭症をきたし、頭痛や嘔気、嘔吐といった頭蓋内圧亢進症状を呈します。
手術によって全摘出できれば治癒が可能ですが、手術の難易度はかなり高いです。手術は開頭手術を行うことが多いですが、小さい腫瘍の場合には内視鏡を用いて鼻から手術を行うこともあります。腫瘍が残存したり再発した場合には放射線治療を行います。手術後にホルモン分泌障害がおこった場合には、ホルモンの補充が必要になります。
当院では2022年4月より外視鏡(ORBEYE🄬)を導入しています。
外視鏡を用いた手術は,内視鏡(endoscope)と同じように、術者は正面のモニターを向いたまま行います。小さな鏡筒を自在に動かせることによって、従来の顕微鏡手術では観察困難な方向へと容易に視軸を変更できることが最大の特徴で、手術の自由度が格段に増します。
術中体位に無理が少なくなるので、患者さんの術後の体の痛みなどのきつさが減少しました。
鏡筒と術野の間に十分なスペースを確保できることからナビゲーションやモニタリングなど手術機器の操作性が向上します。室内のスタッフにも術野がよく見え、手術の安全に寄与しています。
ただ、手術によっては顕微鏡に劣が勝ることもあるため、当院では必要に応じて外視鏡と顕微鏡を切り替えたり、さらに内視鏡を組み合わせたりしながら手術を行っております。
小さな鏡筒で、自由度の高い手術が可能です。
正面のモニターをみて手術を行います。
室内のスタッフにも術野がよく見えます。
頭蓋骨は、脳を上から包むように保護している頭蓋冠と、脳の底にある頭蓋底に分けられます。一般に、頭蓋底とは脳の底面にある頭蓋骨の周辺部分を指します。脳へ血流を送る血管が通り、ここを通って神経が体へと繋がっています。周囲には、脳、下垂体、眼、耳、鼻、口、咽頭などの重要器官が集中しています。この部分に腫瘍などの病変ができることがあります。
頭蓋底の上側(脳側)は、脳組織で覆われています。従来は脳をヘラで牽引することで頭蓋底部と脳との間に隙間を作り、そこから手術をしていました。しかし、脳を待ち上げ過ぎると脳挫傷(脳が壊れる事)や、脳神経・脳血管の損傷をきたし重篤な後遺症を残すこともありました。
そこで、頭蓋底の骨を削ることで隙間をつくり、脳の牽引を最小限にするよう考えられたのが頭蓋底手術です。
脳神経外科、耳鼻咽喉科・頭頸部外科、形成外科、口腔外科など様々な診療科が治療に当たることが多く、当院でも様々な科と協力して治療を行っています。近年では顕微鏡に加えて内視鏡や外視鏡などの機器が進歩し、鼻からアプローチする方法も確立されてきました。手術の進歩に加え、定位放射線治療、化学療法などの治療も進歩しており、患者さんの病状に応じた治療計画が求められます。
画像技術の発展により、術前に詳細なシミュレーションを行うことが可能となりました。当院では術前にシミュレーションを行う事で、低い侵襲で大きな治療効果が得られるよう術前計画を行っています。
鼻・副鼻腔から頭蓋底に進展する腫瘍です。
耳鼻咽喉科と合同手術を行い、開頭・経鼻手術を同時に行って摘出しました。
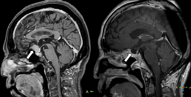
視野・視力障害で発症した鞍結節部髄膜腫です。
以前は開頭手術が選択されていましたが、最近は経鼻手術を行う事が増えています。
視神経に優しい視力の改善など良好な結果を得ています。
三叉神経痛で発症した錐体斜台部髄膜腫です。
術前シミュレーションで骨削除範囲を決めて手術を行いました。