logo

脊椎脊髄

脳神経外科は脳だけに限らず全身の中枢神経、末梢神経の外科的治療を扱う診療科であり、脊髄、手足の末梢神経の機能的改善を目指す治療を行っています。脊髄・機能グループは脊髄・脊椎疾患、末梢神経疾患および顔面痙攣・三叉神経痛など機能に関係する疾患を中心に臨床・研究・教育を行っています。
機能を改善させるには神経だけでなく、その周囲の組織に対する治療も必要となります。例えば脊髄の治療においては脊髄だけでなく、骨である脊椎の力学的強度やその配列についても治療が必要となります。脊髄・機能グループにおいてはこれらを重視した研究・臨床が行われています。日本脊髄外科学会指導医のもと、関連病院とも連携をとりながら、脊髄外科医の育成にも力をいれております。
機能外科において最も重要なことは、形を治すことではなく機能を改善させることにあります。そのためには画一的な治療では目的を見失います。広い選択肢の中から患者さんごとに最も適した治療法を選ぶことを信条として治療に望んでいます。
手の痺れ・痛み、力が入らない、歩行障害などの症状も年齢のせいとあきらめずに一度ご相談ください。また、長年かかえていた腰痛、下肢痛などの症状も神経が原因のこともありますので診察を受けてみてください。

脊髄腫瘍、髄内病変

脊髄や脊椎に腫瘍ができると、その場所の痛みやしびれだけでなく、手足の動かしにくさ、しびれ、歩行障害などが徐々に出現してきます。脊髄腫瘍の手術などでは、同じ神経にできる腫瘍である脳腫瘍の知識と手術手技、治療戦略が必要です。脳神経外科医は日常的に顕微鏡を用いた繊細な手術を行っており、脊椎脊髄疾患を扱うときにも顕微鏡を用いて繊細な手術を行います。また、手術中に、各種の神経モニタリングを行えることも手術成績を向上させます。さらに、手術操作だけでなく術後の化学療法や放射線治療などにおいても、脳腫瘍治療を多く扱ってきた実績が最大の効果を生み出します。

ダンベル型腫瘍

頚椎症性脊髄症・神経根症

背中の骨である脊椎の中には手足の神経がとおる脊柱管があります。この部分が首の骨で狭くなったものが頚椎症性脊髄症です。手がしびれて不器用になったり、力が弱くなったり、ふらふらして歩きにくくなるという症状が出現します。とてもゆっくりと何年もかけて進行するために、自分では年をとっただけだと思ってしまうことがあります。脊柱管から手の神経の出口である椎間孔が狭窄した場合には、手の痛みや動かしにくさのみが出現することがあります。これを頚椎症性神経根症と呼びます。これらの疾患は単独であったり複合したり、ヘルニアを伴ったりと様相は多彩となります。治療の基本はまずは内服薬により行いますが、症状が進んでいく場合は不可逆的になる(症状が回復しなくなる)ため手術加療が必要となります。手術は最小限の侵襲で症状に応じて必要な部分だけを治療するように患者さんごとにオーダーメイドで手術計画を立てます。
手術後の痛みや変形を防ぐために、当科では顕微鏡下に神経だけでなく筋肉も温存した筋層構築的棘突起椎弓形成術を行います。これにより手術後に頚椎カラーなどの必要はなくなります。ただ傷が小さいことや、手術を小さくすることは本当の意味では低侵襲とはならないため、身体の機能構造を温存して手術することが低侵襲な治療を実現します。
また、前方からは一般的に行われている前方固定術だけでなく、骨に6mmの鍵穴のみをあけて行う経椎体的椎間孔除圧術を行っています。適応できる病態は限られますが、前方固定術による無駄な固定による可動性の消失と、隣接椎間の障害(隣の骨に負担をかけることによる再発)を回避します。また、多椎間に及ぶ場合は前方固定術と経椎体的椎間孔除圧術を併用することで手術範囲とともに固定範囲を少なくすることができます。

頸椎最大低侵襲手術、経椎体的椎間孔除圧術

変形性頚椎症・頚椎不安定症・頚椎骨折

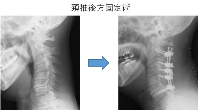
骨である頚椎自体の変形やずれ、不安定性がある場合は神経症状だけでなく、首の痛みや動いたときの症状の増悪などの症状をともないます。また、怪我・外傷によって同じことが起こり得ます。
この場合は骨である頚椎自体の治療のため、頚椎固定術が必要となります。椎弓根スクリューや外側塊スクリューを組み合わせた後方固定術を行います。必要があれば頭蓋骨からの連続した固定術も行います。

頸椎後方固定術 頭蓋頸椎後方固定術

後縦靭帯骨化症・黄色靭帯石灰化症

脊椎の椎体の後方を指示している靭帯が骨化して脊髄を圧迫するものを後縦靭帯骨化症といいます。胸椎で脊柱管の後方の黄色靭帯が骨化したものを黄色靭帯骨化症といいます。どちらも特定疾患とされており現在も原因解明のために研究が行われています。
一般の脊椎疾患よりもさらに繊細な手術が必要となり、顕微鏡下の手術が必須となります。頚椎後縦靭帯骨化症においては軽症のものは後方から除圧固定などを行いますが、前方からの圧迫が強すぎるものではこの方法では解決できません。このような場合は前方からの骨化巣の摘出・浮上術が必要となります。

腰椎除圧術・固定術

腰椎椎間板ヘルニア、腰部脊柱管狭窄症、成人脊柱変形(側彎症、後彎症)、により坐骨神経痛などを代表とする下肢の神経症状が出現します。まずは内服薬による治療から開始しますが、痛みの症状が強い場合には硬膜外ブロックや神経根ブロックなどを行います。それでも症状が寛解しない場合には、筋層を温存してなおかつ効果が長く持続する棘突起縦割椎弓形成術から、側方から後腹膜腔を経由して脊椎の前方から固定を行う椎体置換術やOLIF、後方からのPLIF、TLIFなどの固定方法を患者さんごとに使い分けて最善の治療を目指します。
一般的に後方からスクリューで固定されてしまう外側型の腰椎椎間板ヘルニアについても、画像所見によっては、当科では外側からの除圧術のみで対応します。

腰椎後方固定術 腰椎椎体置換術

骨粗鬆症性椎体骨折

近年の高齢社会において、骨粗鬆症性椎体骨折の患者数は増加しております。そのため、骨粗鬆症診断、骨強度診断がより重要となっています。力学的には強度とは構造と材質により規定されます。力学的に骨強度を定義すると、骨強度は構造的因子と材質的因子により定義されるべきと考えられます。現行の骨密度検査だけでは骨強度は正しく表現されません。現在、骨強度を評価する方法として有限要素法やその他の方法がが用いられ始めております。当科においても骨密度だけでなく、密度分布や骨形状などの構造的因子および材質的因子の一部も反映した骨強度解析を研究しながら、骨粗鬆症性椎体骨折の内服、注射、手術加療をおこなっています。

有限要素法モデル バーチャルリアリティによる椎体破壊試験

対象疾患

脳腫瘍
小児脳神経外科
脊髄脊椎
脳血管障害
機能的脳神経外科
特発性正常圧水頭症